Oceanogràfic Delfines, belugas, morsas, leones marinos y un largo etcétera tienen cabida en el mayor acuario de Europa.
La Ciudad de las Ciencias es lo más visitado de España en 2011 La Ciudad de las Ciencias es el complejo cultural más visitado de España.
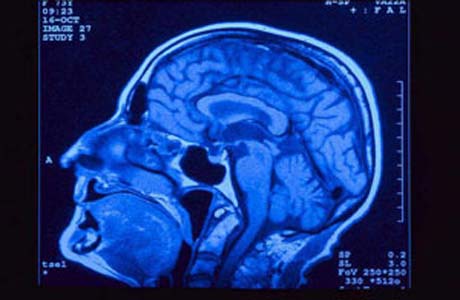
La medicina del Antiguo Egipto en el Príncipe Felipe La medicina egipcia era una de las más importantes del mundo. Gracias a ella sabemos como curar enfermedades.
Conferencia: ¿Físicos en el Hospital? Los físicos colaboran en los hospitales para los diagnósticos y técnicas medicinales.
Conferencia “Más allá de Neptuno” en la Ciudad de las Ciencias Dentro del ciclo de Astronomía 2011-2012 encontramos una conferencia sobre Neptuno y lo que hay más allá.
El Congreso Mundial del Arroz todo un éxito Todo un éxito la celebración del I Congreso del Arroz en la que participaron miles de valencianos en el concurso de la paella.
Arroces de 5 a 22 euros durante el Congreso Mundial del Arroz Arroz y más arroz para celebrar el I Congreso Mundial del Arroz con platos especiales de 5 a 22 euros.
Hoy comienza la Campus Party 2011 La Campus Party 2011 comienza hoy. Más de 6000 campuseros y 10 gigas de conexión se citan en la Ciudad de las Artes hasta el 17 de julio.
Winter Music CAC Antes del MTV Winter llega el Winter Music CAC, conciertos gratuitos para elegir quiénes actuarán en el MTV Winter de 2011.
Global Champions Tour La competición más importante de la Hípica celebra la primera de sus pruebas en Valencia.
Fin de semana en Valencia ¿Te apetece pasar un fin de semana en Valencia? Descubre todo lo que puedes hacer en la ciudad.
Palau de les Arts Un espacio único y majestuoso donde disfrutar de la danza, teatro y ópera en un lugar privilegiado, la Ciudad de las Ciencias y las Artes.
Ciudad de las Artes y de las Ciencias La Ciudad de las Ciencias se abre al mundo como un espacio único donde aprender y disfrutar de la ciencia, la naturaleza y la tecnología para toda la familia.
Campus Party: Valencia, capital de la tecnología Esta decimocuarta edición, la décima que acoge Valencia y que se celebrará hasta el próximo domingo 1 de agosto, ofrece a sus participantes una conexión de 10 GB.